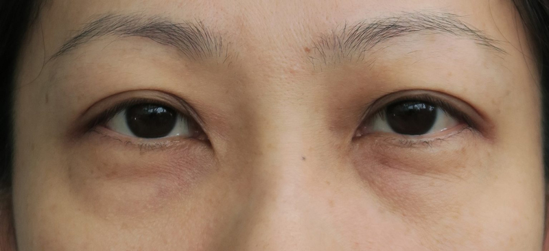
Mata yang berseri dan sihat tidak dapat dinafikan sebagai apa yang diidamkan oleh semua orang. Tidak kiralah sama ada anda wanita ataupun lelaki, pasti penampilan mata yang menarik dan sihat akan memberikan persepsi yang baik terhadap diri daripada anda dan orang lain. Mata juga dikatakan sebagai jendela jiwa, jadi apabila ianya kelihatan penat dan sembab, pasti orang lain akan menganggap anda tidak sihat atau pun sentiasa berasa penat.
Kadangkala, krim ataupun produk yang dipakaikan tidak akan menunjukkan kesan untuk hilangkan eyebag dan ini menandakan yang anda perlu menjaga dan merawatnya dari dalam badan. Macam mana nak hilangkan eyebag dari dalam? Jawapannya adalah, anda perlu mula mengambil vitamin untuk hilangkan eyebag. Vitamin tidak semestinya perlu diambil dalam bentuk pil dan jangan lupa bahawa alam semula jadi telah menyediakan dan menghasilkan vitamin untuk kita semua bagi hilangkan eyebag iaitu buah-buahan!

Apabila anda sudah menjaga dan merawat eyebag dari dalam badan, ianya akan boost keberkesanan produk-produk seperti krim dan gel untuk mengurangkan eyebag itu. Buah-buahan yang diperkaya dengan vitamin C, A, B, E bersama anti oksida dan mineral penting dapat merawat kulit yang rosak dan mengembalikan kesegaran di kawasan mata anda
Eyebag ataupun mata yang sembab boleh terjadi oleh beberapa sebab. Antaranya ialah;
Cara-cara untuk mengurangkan eyebag ini ada banyak, dan baca artikel ini untuk mengetahui tentang produk-produk hilangkan eyebag di watsons dan drugstore lain yang mana anda boleh dapati.
Dalam penulisan hari ini, kita akan selami tentang cara menghilangkan eyebag menggunakan buah-buahan.
Jadi, baca dengan lebih lanjut untuk mengetahui tentang buah-buahan yang diperkaya dengan vitamin-vitamin yang telah disebutkan di atas yang mana boleh membantu anda mengalahkan eyebag ini!
Buah-buahan sepatutnya diamalkan pengambilannya pada setiap hari. Hal ini kerana, khasiat yang anda akan terima daripada pengambilan buah-buahan ini adalah lebih baik untuk kesihatan anda dan lebih selamat diamalkan berbanding pengambilan pil-pil suplemen yang banyak risikonya. Mari kita lihat apakah buah-buahan yang boleh membantu kesembapan mata anda di bawah.

Jambu batu diperkaya dengan vitamin C dan ianya bersifat anti oksida yang mana kedua-dua kualiti ini dapat mencegah kesan penuaan awal dan dapat mengembalikan kecerahan kulit. Untuk pengetahuan anda, vitamin c yang terkandung dalam jambu batu ini adalah lebih tinggi daripada buah limau, jadi anda bolehlah mula memakan atau pun meminum buah ini.
Pengambilan buah ini akan memastikan kawasan mata anda sentiasa berseri, anjal dan sihat. Ini sekali gus akan menyurutkan kesembapan eyebag dan juga dark circle kerana ianya memberikan penghidratan dalam kulit! (TNN, 2019)
Baca artikel ini untuk mengetahui macam mana nak hilangkan eyebag dalam waktu kecemasan.

Selain popular dengan memberi penghidratan dalam tubuh badan, tembikai yang terdiri daripada 92% air dan vitamin B1, B6, serta C ini berfungsi sebagai makanan pembersihan dierutik atau pun proses air kencing dan cara yang enak untuk mengurangkan kesembapan bawah mata anda.
Menurut seorang doktor naturaphatic, Dr. Ariel Policano, tembikai mampu membantu limpa kita untuk memproses bahan buangan nitogren yang boleh menghasilkan ammonia toksik yang mana akan menaikkan tahap asid dalam badan kita dengan mengubahnya menjadi urea. Urea ini adalah selamat untuk dikumuhkan oleh ginjal kita.
Selain itu, kompaun-kompaun lain yang terdapat dalam tembikai ini boleh melindungi organ, tisu dan sel badan anda daripada radikal bebas bagi mengekalkan dan memberi kemudaan serta kesihatan terhadap kulit anda! Kompaun-kompaun ini adalah seperti lycopene, carotenoids dan lutein, lycopene, zeaxanthin serta cryptoxanthin terkandung dalam anti oksida yang terdapat dalam buah tembikai.
Hebatkan buah tembikai ini? Anda boleh memakannya sebagai snek ataupun jadikannya sebagai minuman tengahari anda untuk mata yang lebih sihat dan tidak sembab. (Davison, 2015)

Tahukah anda bahawa berri yang gelap seperti black current, berri hitam, chokeberry dan elderberry mengandungi lebih 50% anti oksida berbanding berri-berri yang lain? Macam mana berri-berri ini membantu anda dalam membanteras eyebag?
Warna yang gelap berri-berri tersebut mengandungi anti oksida yang dipanggil Anthocyanins dan berri-berri ini diperkaya dengan vitamin C dan K. Anthocyanins ini terlalu banyak kelebihannya dan antaranya adalah ianya bersifat anti-keradangan, anti-kanser, anti-diabetes, anti-kesan obesiti dan mengelak penyakit yang berkaitan otot jantung ataupun kardiovaskular.
Caranya untuk membantu menyurutkan eyebag ini adalah dengan melancarkan peredaran darah di bahagian bawah mata dan menyalurkan oksigen kepada tisu-tisu di kawasan berkenaan. Pelancaran peredaran darah akan membantu mengurangkan penampilan bengkak dan seterusnya akan membuatkan kawasan mata anda kelihatan lebih segar dan sihat. (RESNICK, 2020)

Anda boleh memperoleh sumber vitamin B dan potasium daripada buah avokado ini. Ya, ianya adalah buah dan bukan sayuran. Vitamin B yang terdapat dalam avokado ini adalah penting untuk proses perkembangan darah dan seperti yang anda sedia maklum, peredaran dan penghasilan darah yang baik memainkan peranan dalam kesihatan dan penampilan kulit juga.
Ditambahkan lagi dengan potasium dalam avokado ini, ianya dapat melawan dan mengawal kandungan sodium dalam badan yang boleh menyebabkan pengumpulan cecair di bawah mata. Selain itu, potasium juga mampu mengurangkan risiko anda untuk terkena penyakit darah tinggi.
Cara pengambilan avokado ini ada pelbagai cara, salah satunya adalah dengan menggantikan mentega sebagai sapuan roti. Ianya lemak yang baik untuk tubuh badan anda dan rasanya seperti mentega yang sihat! Selain itu, anda juga boleh menjadikan avocado ini sebagai pupur bawah mata anda untuk menghilangkan eyebag. Anda cuma perlu melumatkan avokado ini dan pupur di bawah mata anda dan biarkan selama 20 minit dan bilas. Hasilnya, bukan sahaja eyebag ada berkurang, malahan kulit anda juga akan menjadi semakin lembut! (Berkeley, 2021)
Sekiranya anda yang membaca artikel ini dan anda belum lagi mengalami masalah eyebag, penulis mahu ucapkan tahniah! Kenapa? Ini kerana anda menunjukkan pada diri sendiri tentang betapa pentingnya penjagaan kesihatan dan wajah. Bak kata pepatah, “mencegah itu lebih baik daripada mengubati”. Jadi, di bawah ada beberapa tips untuk mencegah eyebag daripada terbentuk pada wajah kita.
References